CASE: October 2016
Dr Alex Nirenberg
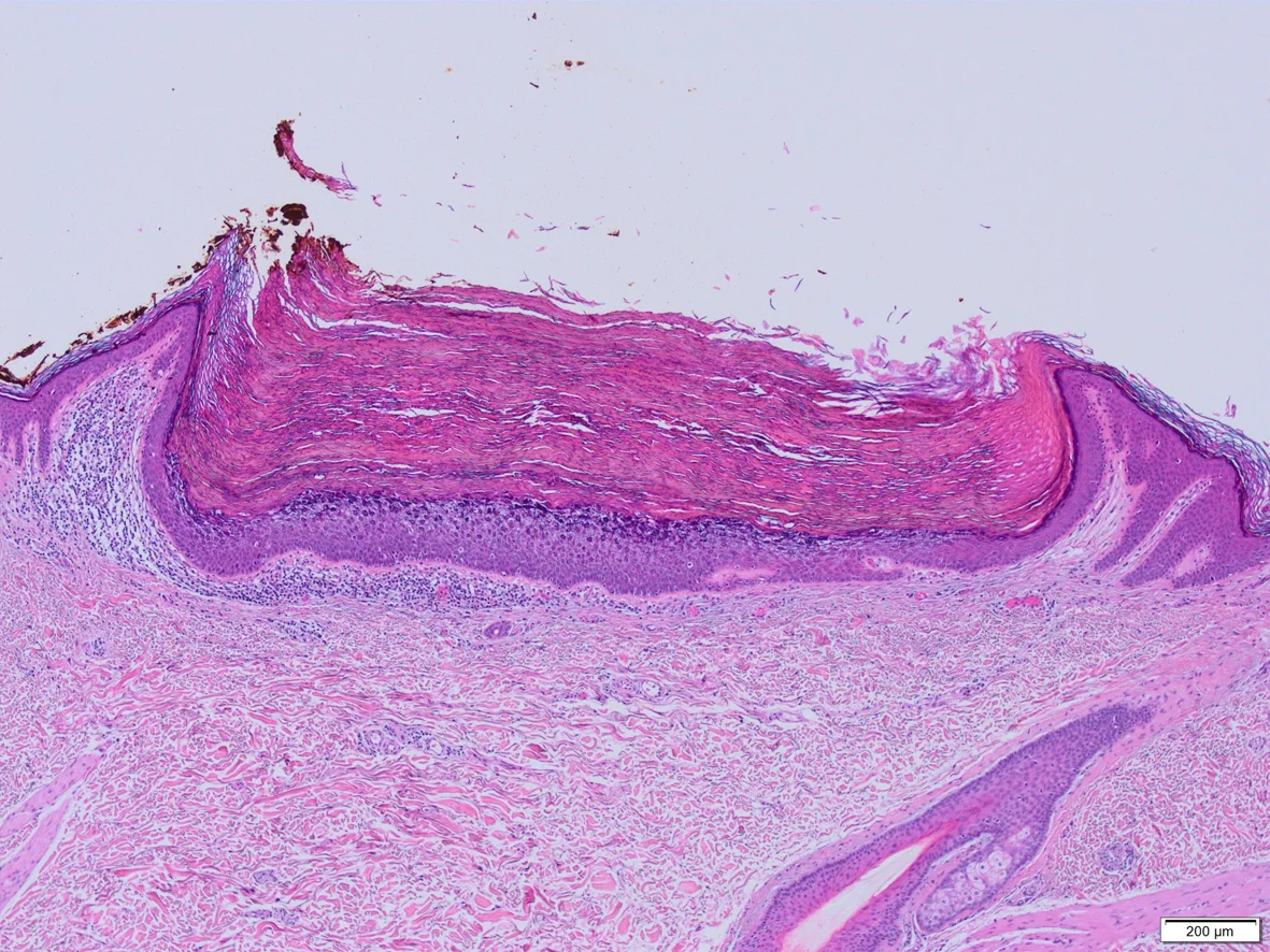
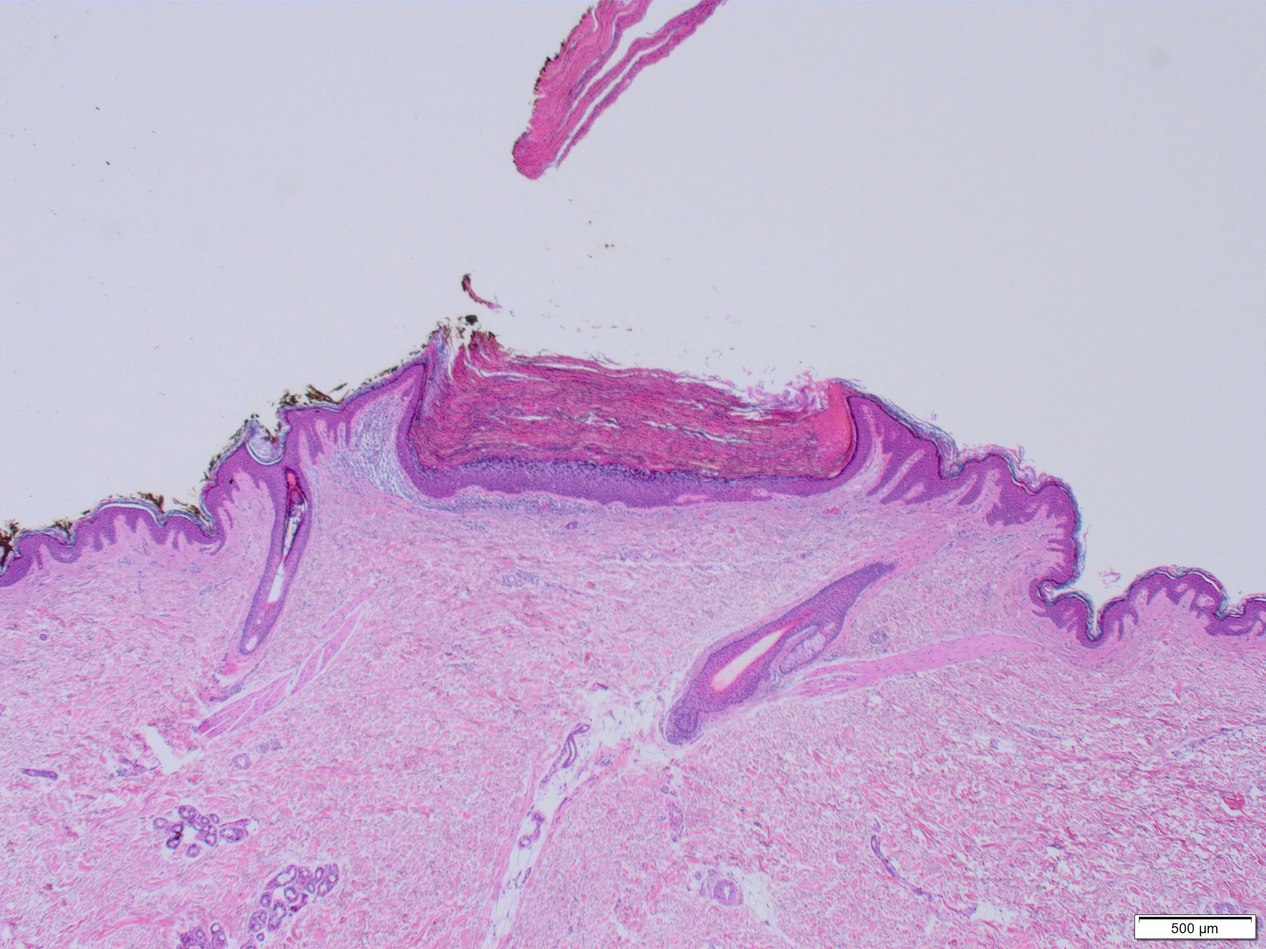
Clinical history: 75 year old female ?squamous cell carcinoma posterior aspect left proximal thigh.
Specimen: A skin ellipse 24 x 10 x 7 mm with a central light brown papule 5 x 5 mm.
View the images below or click on link at bottom to the Aperio file. Once viewed you can click here to download discussion and references.
There is an interactive image download which can be viewed with Aperio. Download times may be slow due to the size of the image, and will vary depending on your download speed.
Follow the link to download the pathology files (*.svs) from our Dropbox folder and save it on your hard drive. To view the pathology file you need to use the Aperio Image Scope System. You can download the software for Aperio Image Scope here. Only available for PC.
If you would like to submit a case for consideration, please contact the ADS Education Officer, Dr Ben Tallon via the secretariat at ads@arinex.com.au
