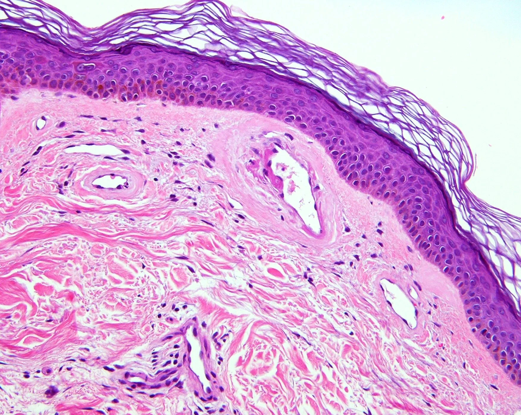
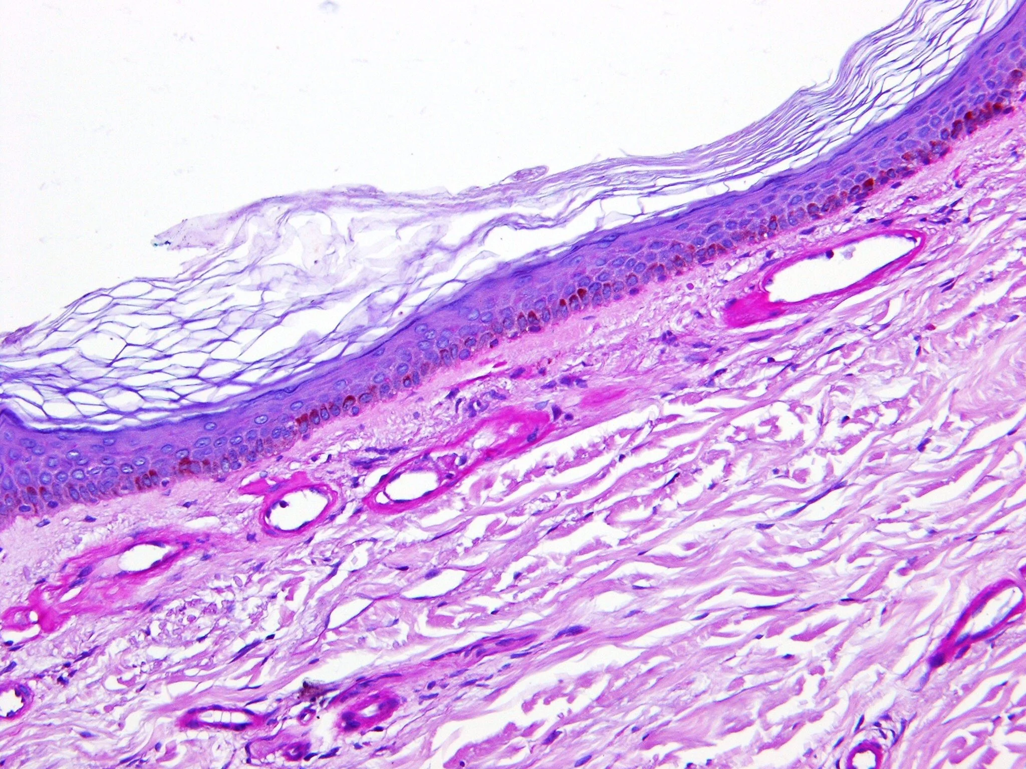
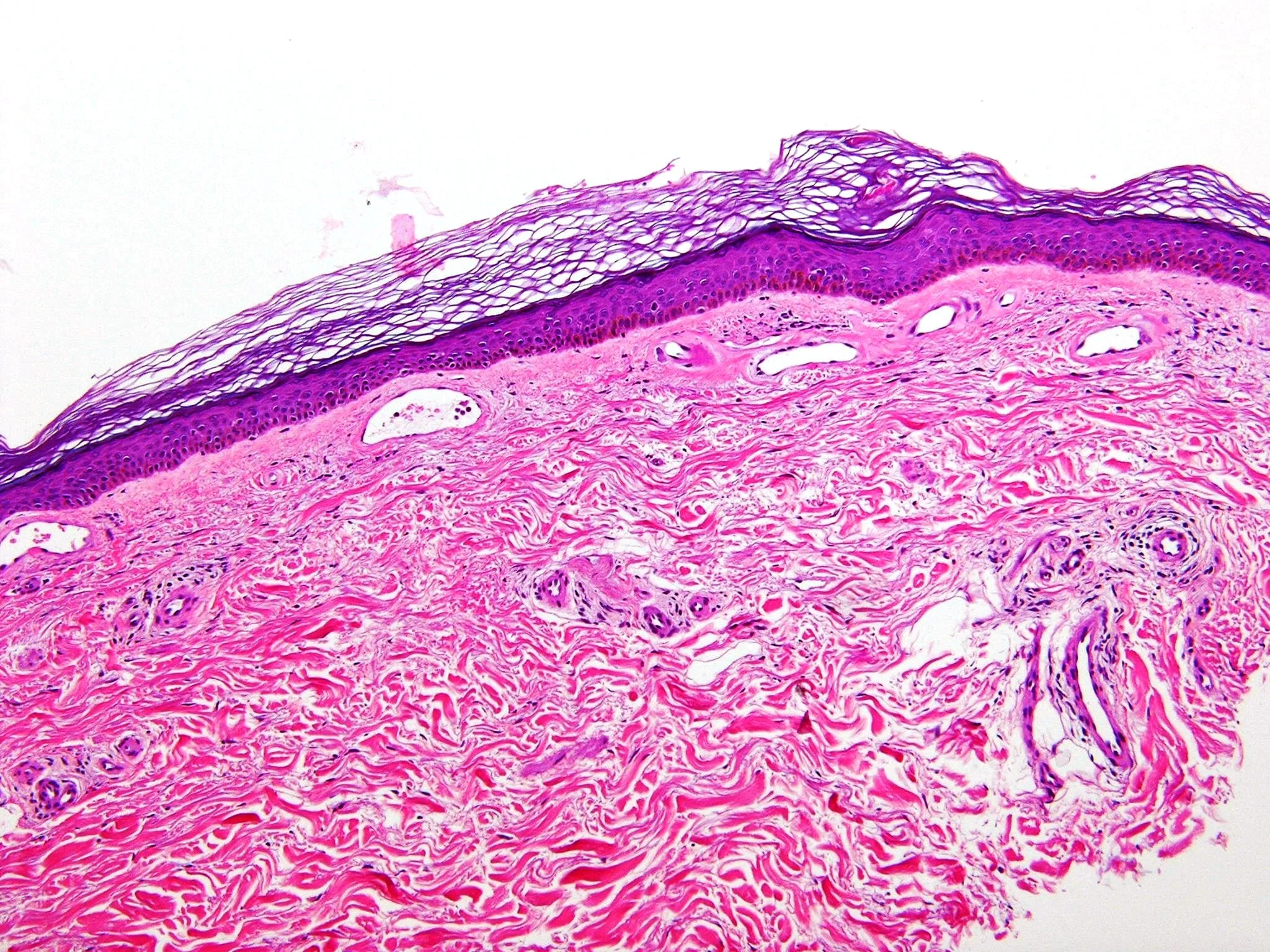
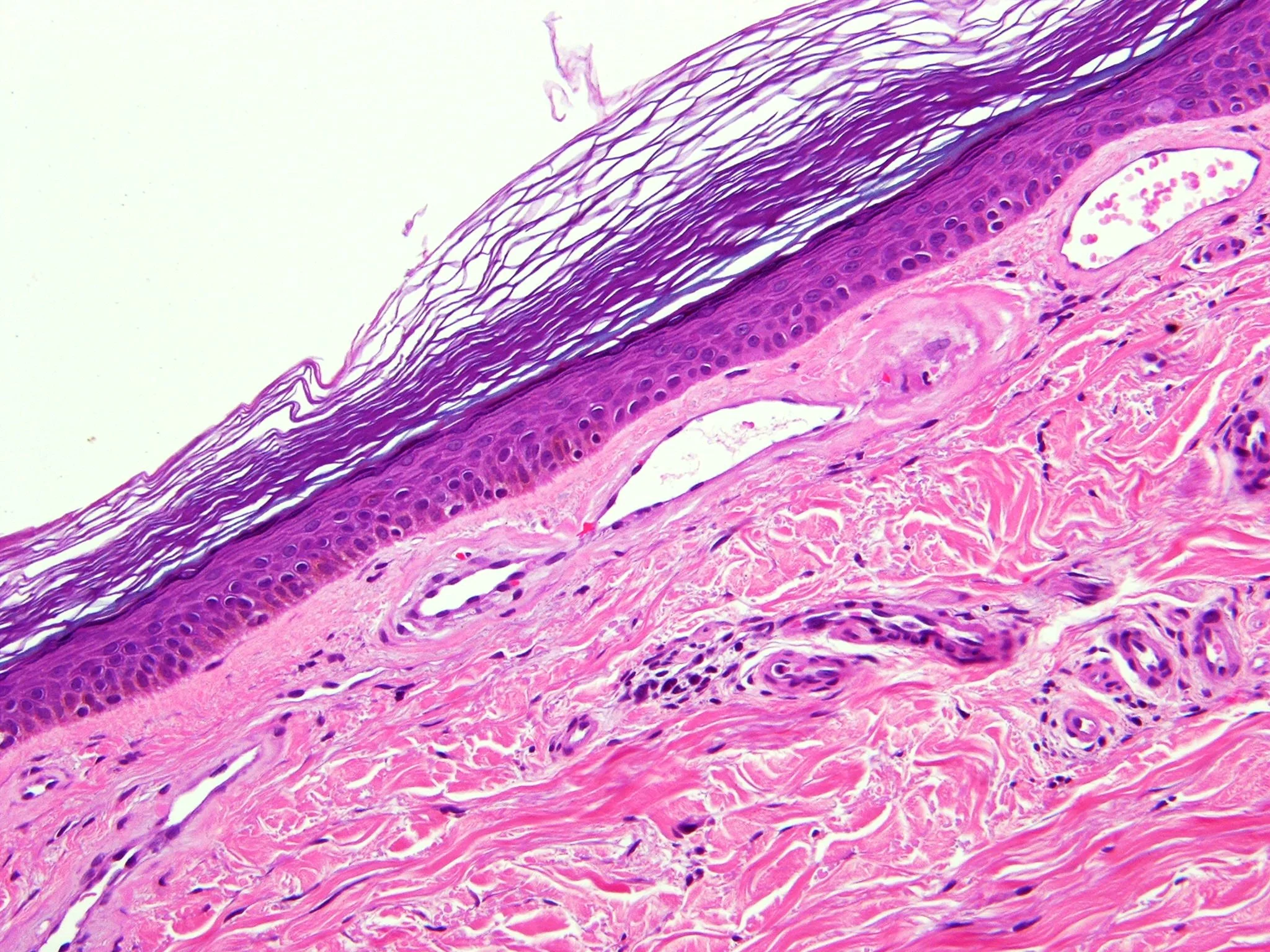
Clinical: Female 66. Lower limb telangiectasia ?capillaritis. Exclude purpuric MF. Present for more than 5 years. Bilateral, asymptomatic.
View the case images below. Once viewed you can click here to download discussion
If you would like to submit a case for consideration, please contact the ADS Education Officer, Dr Ben Tallon via the secretariat at ads@arinex.com.au
