CASE: November 2016
Dr Georgina England, Dr Craig James
Clinical:
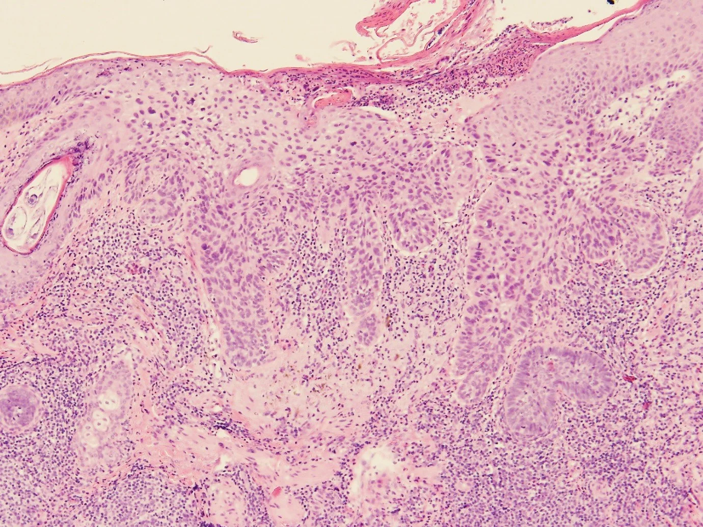
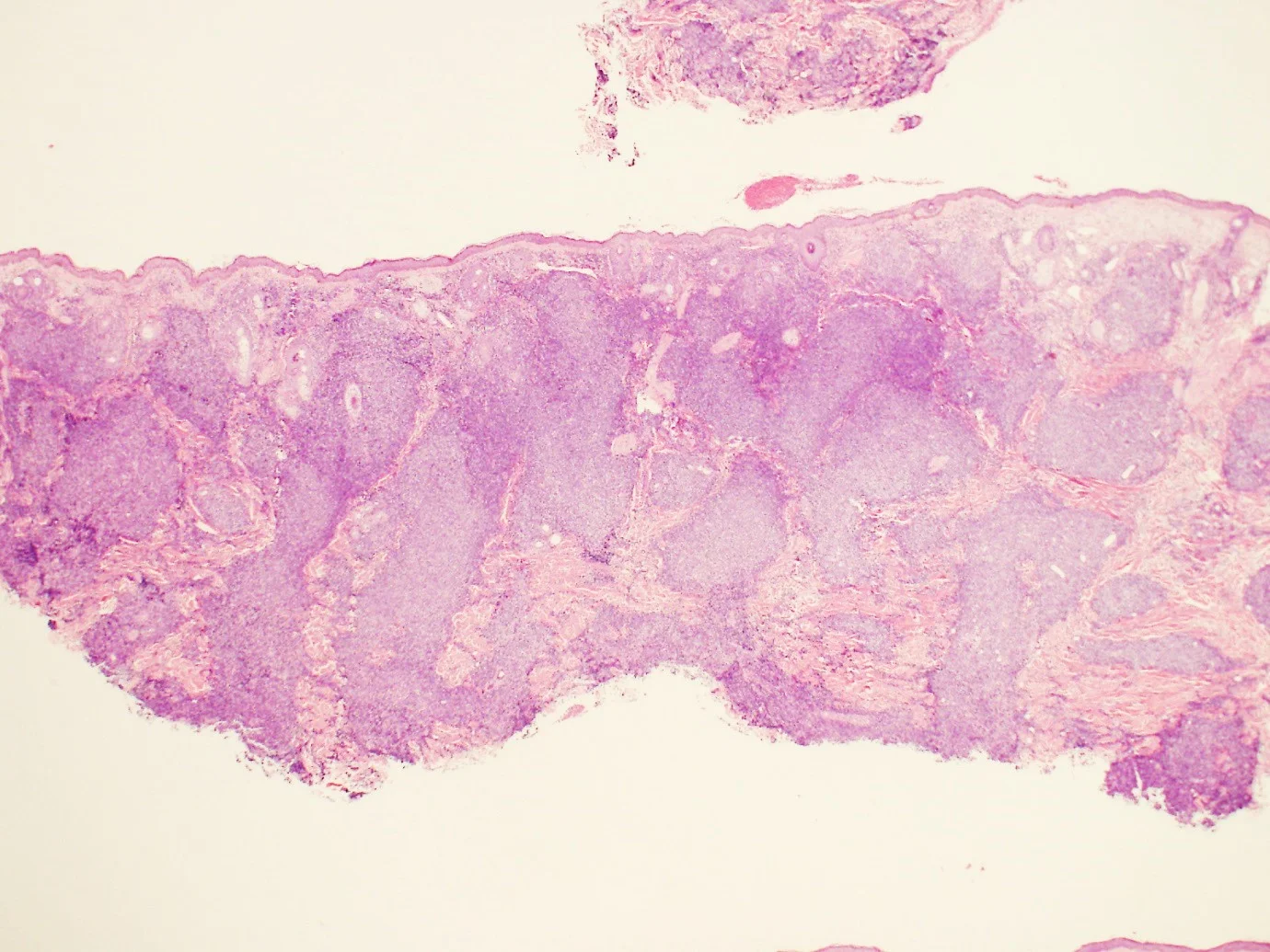
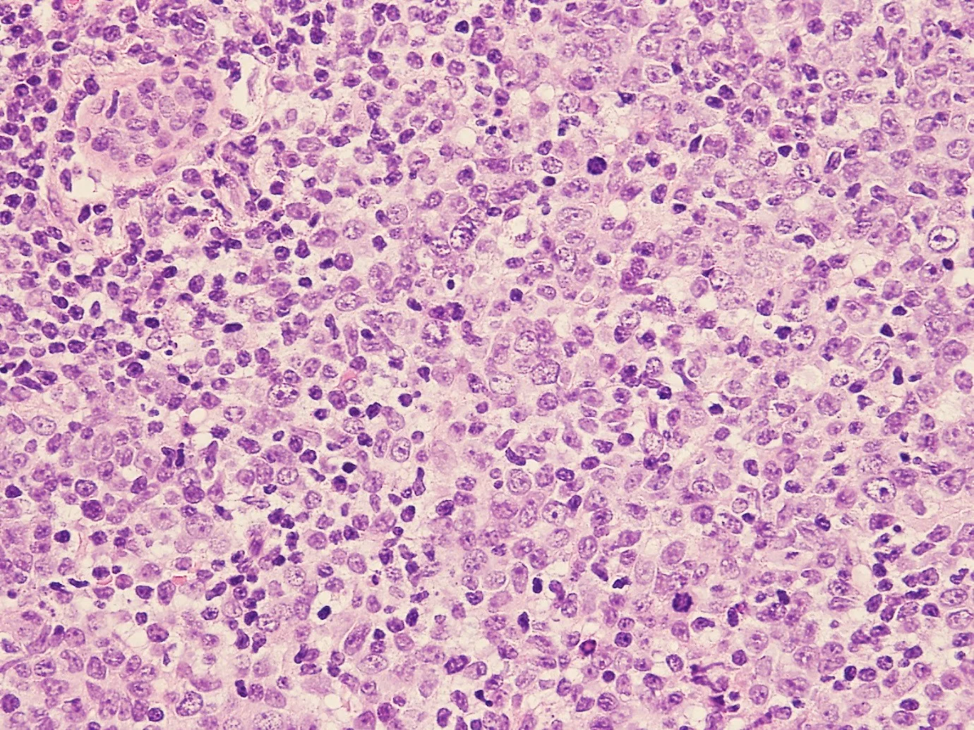
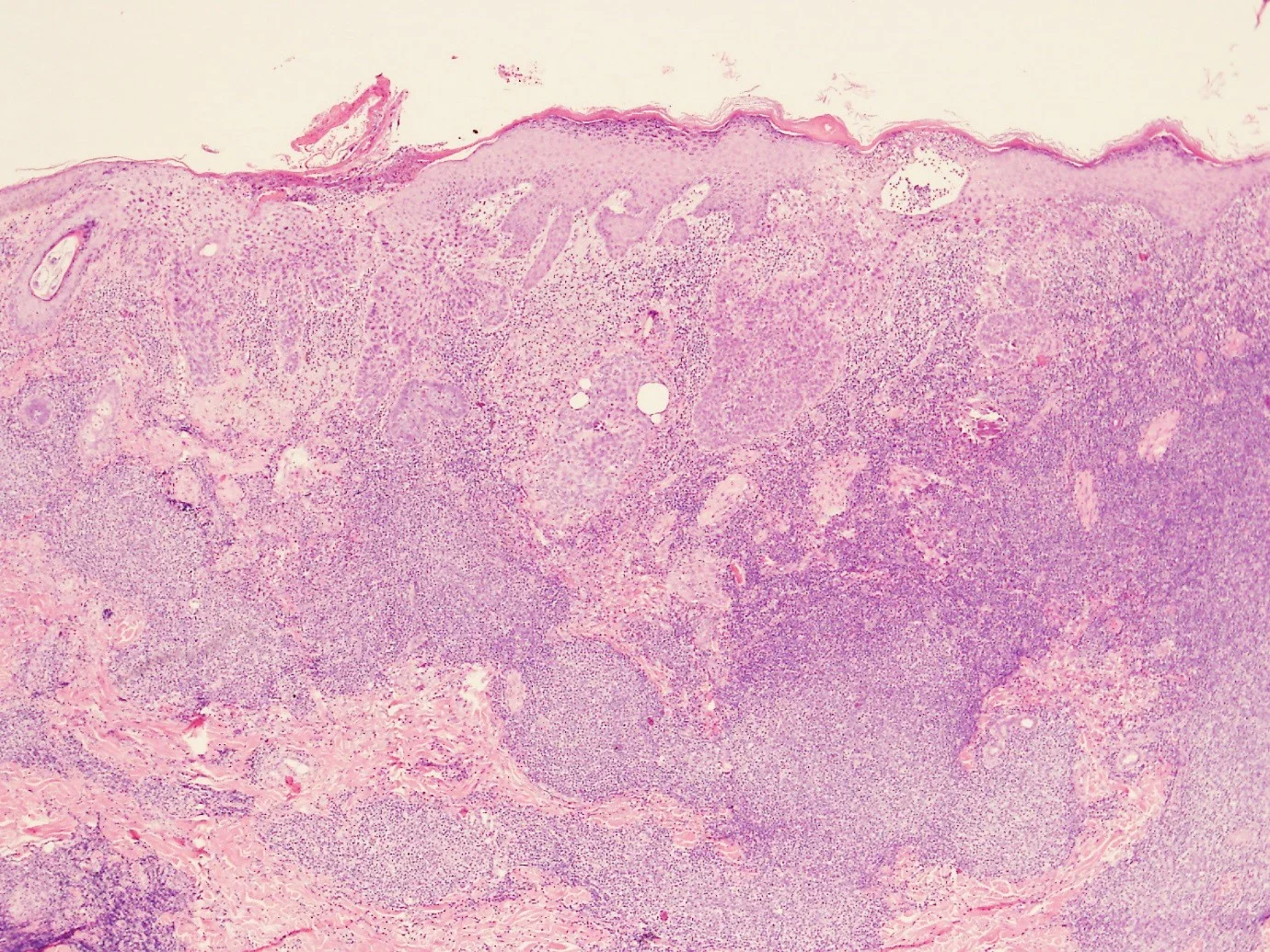
66year old male, presented with three hyperkeratotic scalp lesions, one of which is demonstrated below.
View the case images below. Once viewed you can click here to download discussion and references.
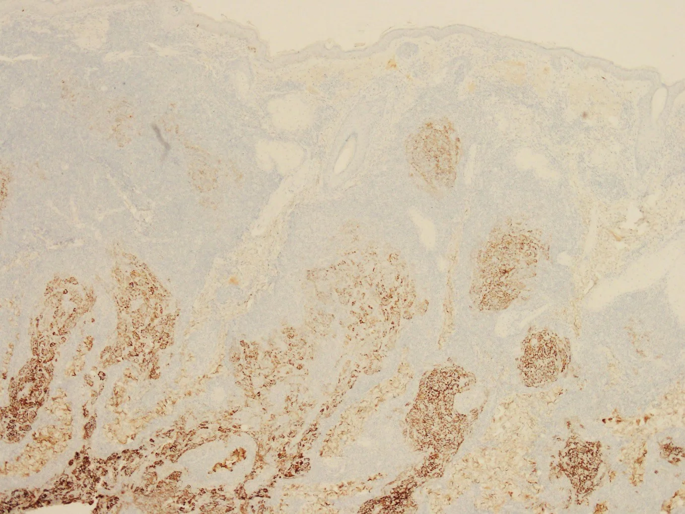
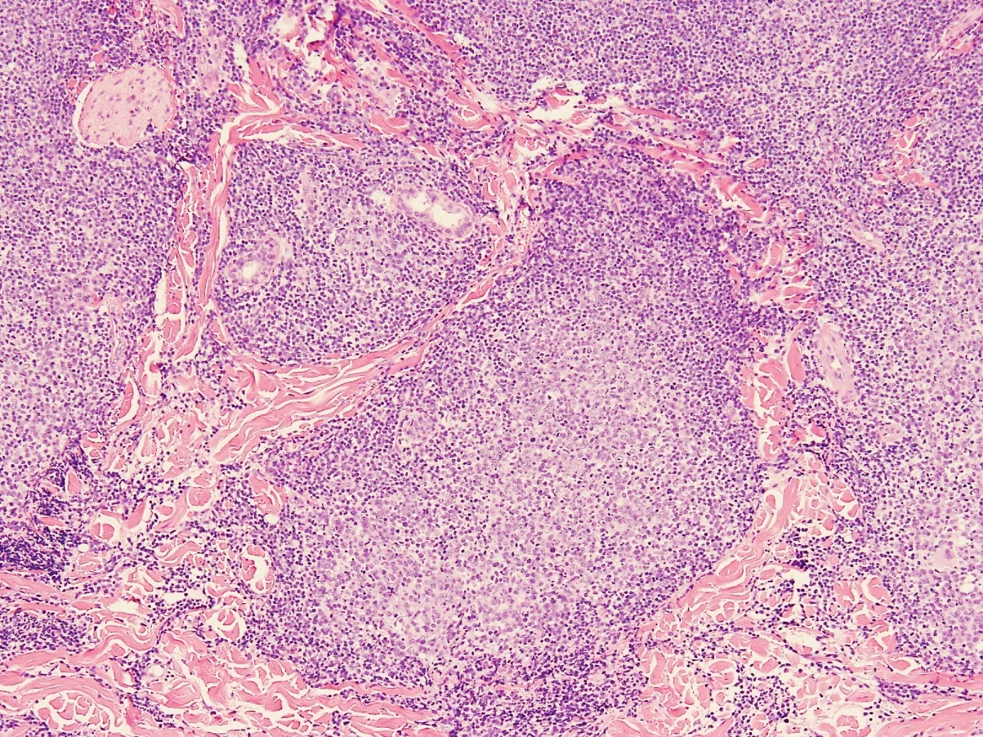
CD20
CD21
D10
BCL2
BCL6
CD79a
There is an interactive image download which can be viewed with Aperio. Download times may be slow due to the size of the image, and will vary depending on your download speed.
Follow the link to download the pathology files (*.svs) from our Dropbox folder and save it on your hard drive. To view the pathology file you need to use the Aperio Image Scope System. You can download the software for Aperio Image Scope here. Only available for PC.
If you would like to submit a case for consideration, please contact the ADS Education Officer, Dr Ben Tallon via the secretariat at ads@arinex.com.au
