CASE: February 2017
Dr Ben Tallon
Clinical history:
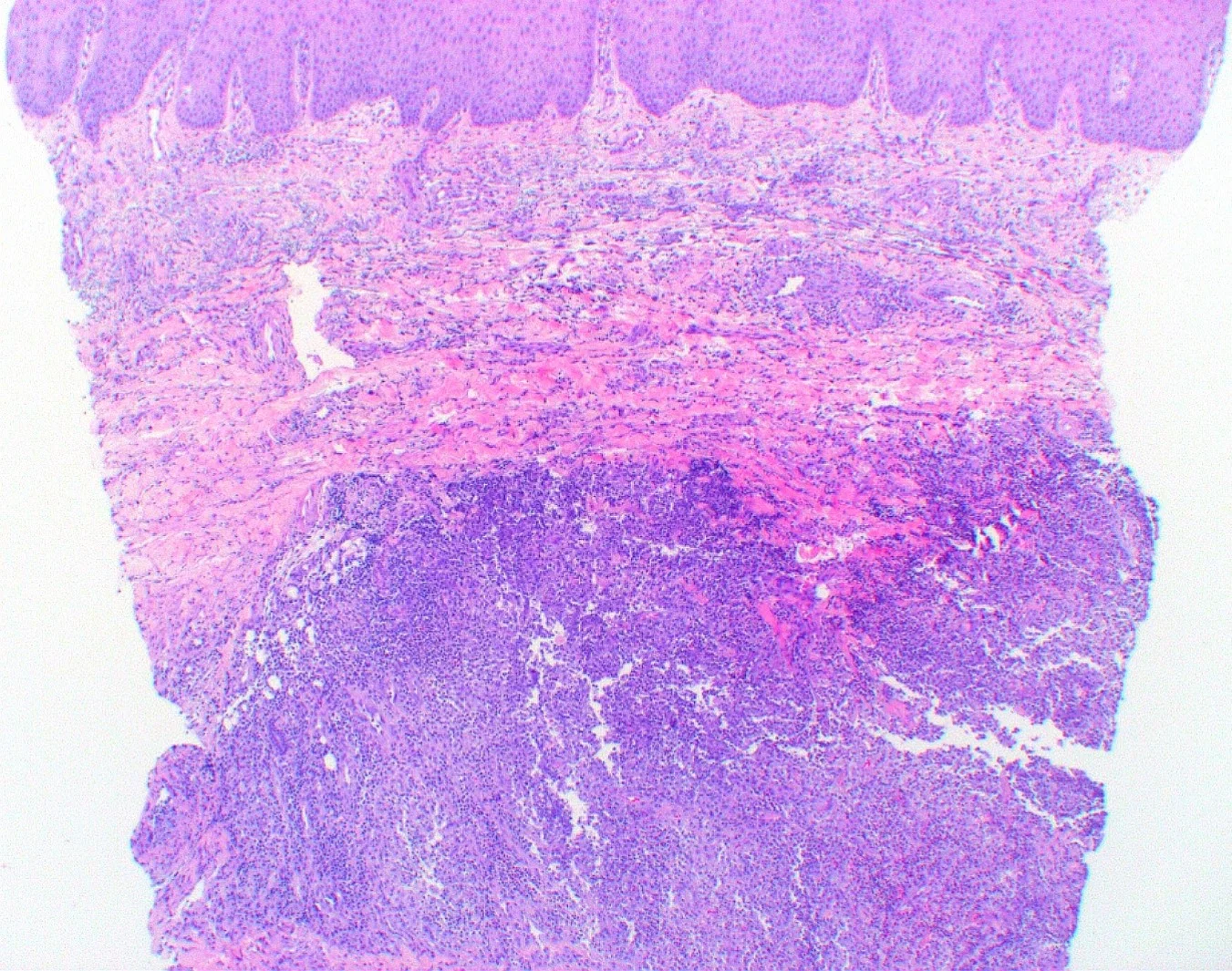
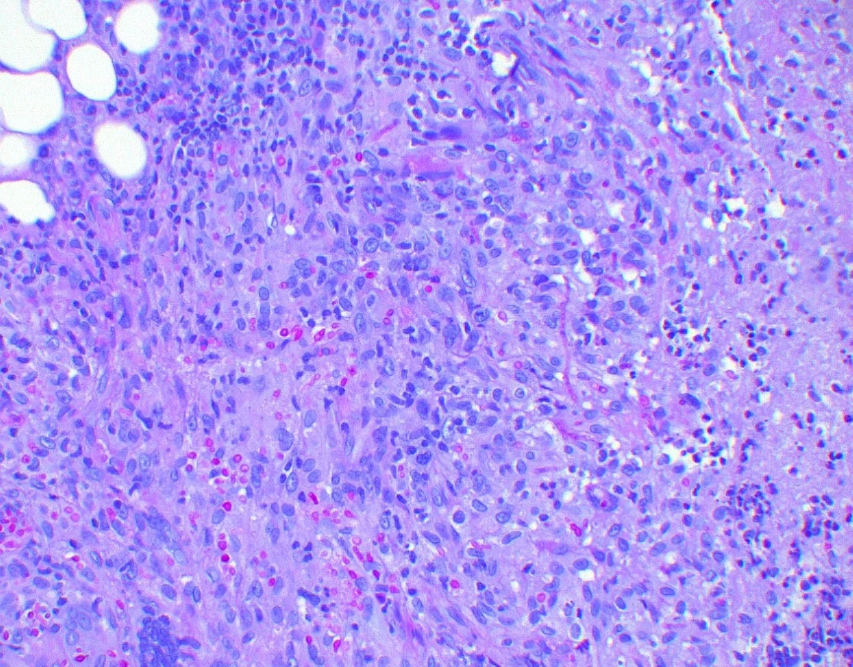
62 year old male. Acute swelling of right index finger. 6 months ago had triamcinolone injection into digital mucous cyst in same finger with good response. Failing response to bacterial antibiotics a biopsy was taken for histology and culture.
View the case images below. Once viewed you can click here to download discussion and references.
If you would like to submit a case for consideration, please contact the ADS Education Officer, Dr Ben Tallon via the secretariat at ads@arinex.com.au
