MAy pathology Case
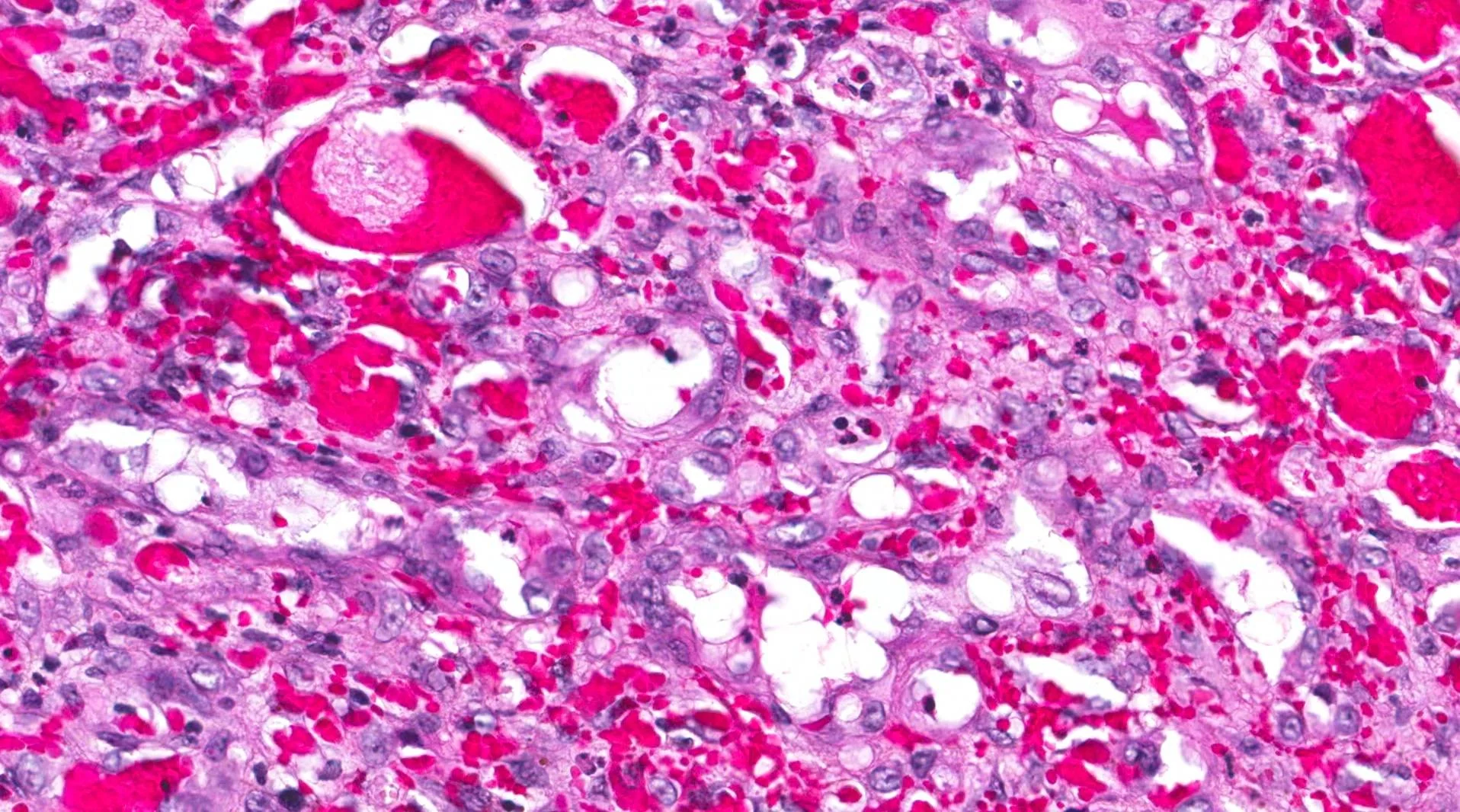
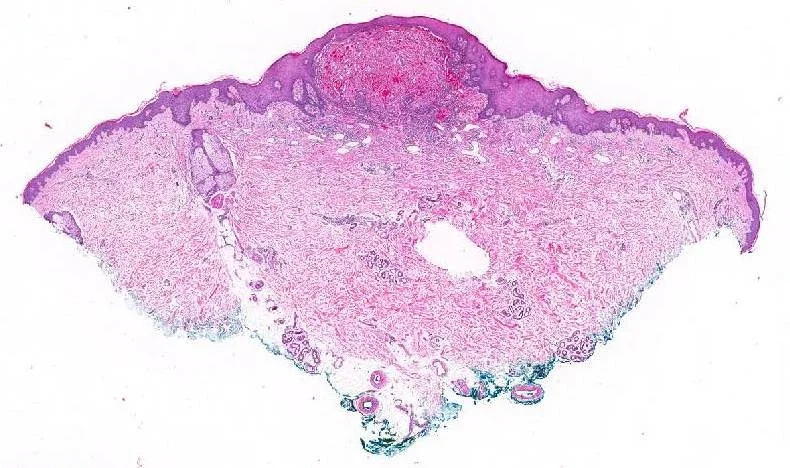
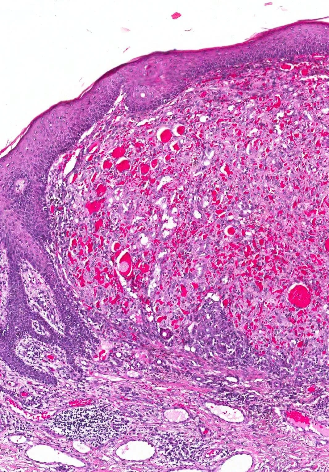
Clinical history: Male age 72. Tumour excised from the abdomen. The dermatologist suggested melanoma, BCC or a metastasis.
View the images below. Once viewed you can click here to download discussion and references
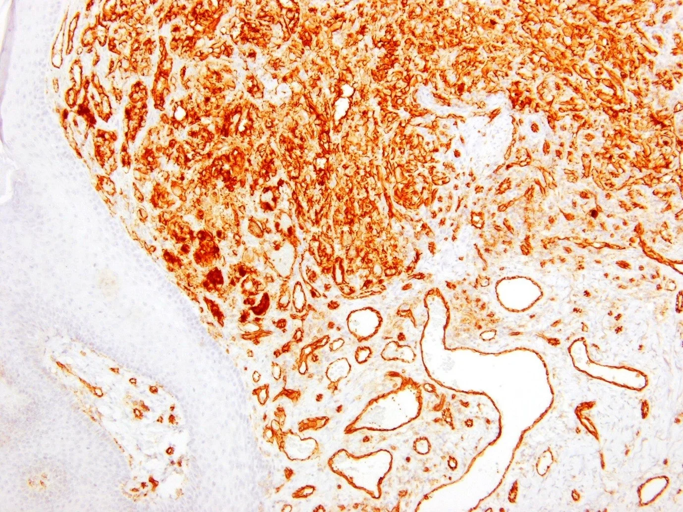
ACTIN
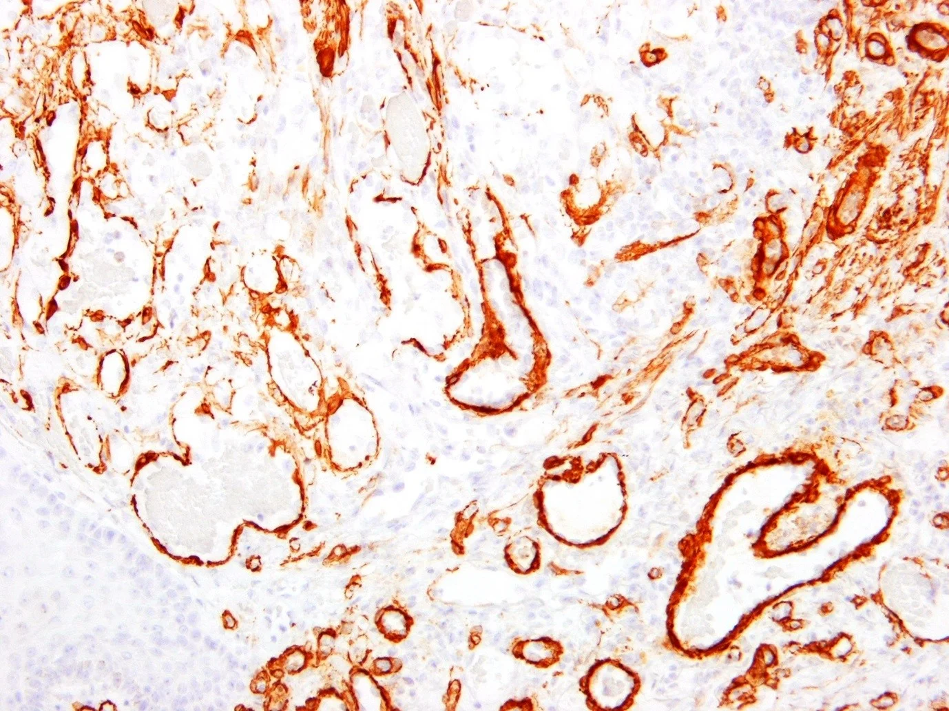
CD31
Clinical history: Male age 72. Tumour excised from the abdomen. The dermatologist suggested melanoma, BCC or a metastasis.
View the images below. Once viewed you can click here to download discussion and references
ACTIN
CD31