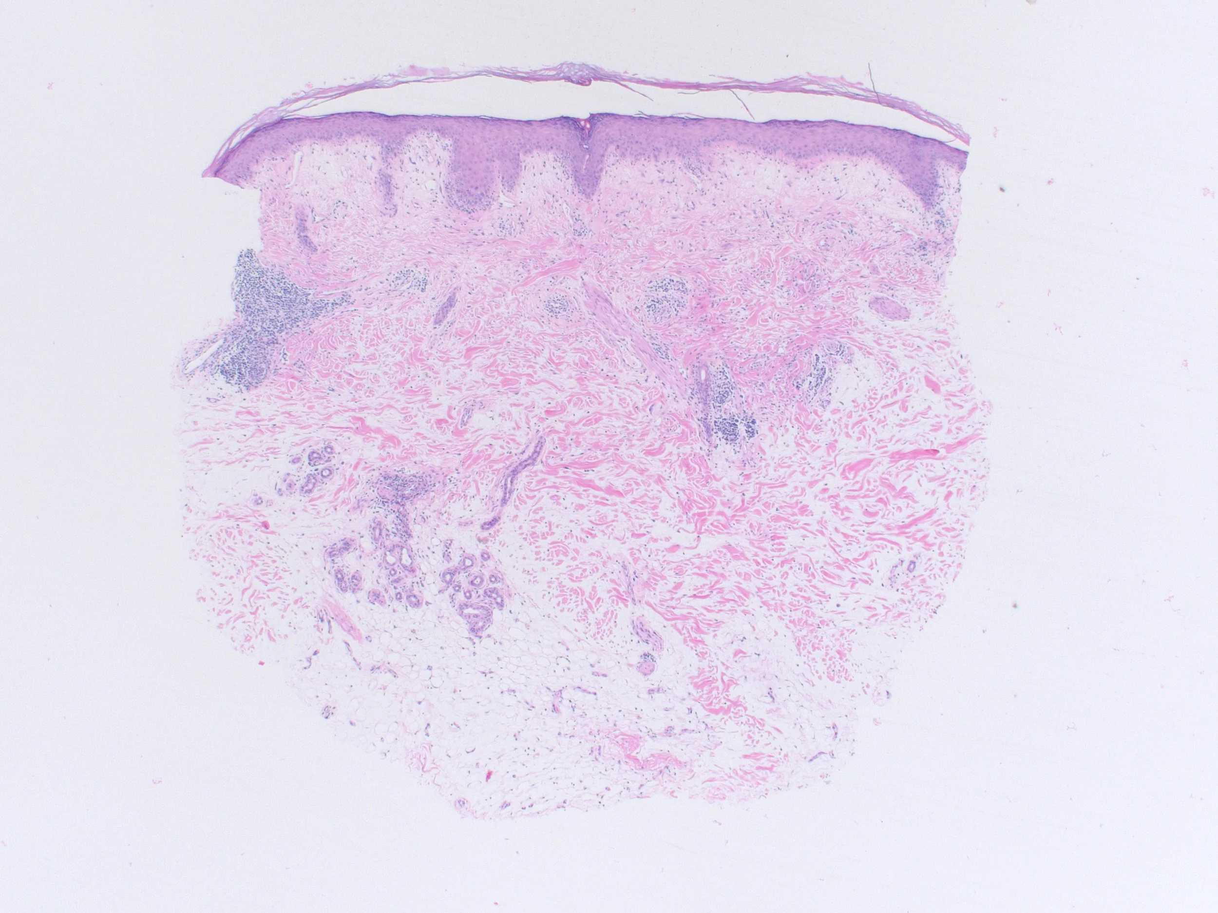
Clinical History
- 45 yo female, referral from Rheumatology re ‘is this psoriasis?’
- 3 month history of asymptomatic, red tumid plaques over posterior neck and cape regions (photosensitive distribution) and throughout scalp (with hair loss).
- 6 week history of painful inflammatory arthritis (small joints hands) and systemic symptoms (fatigue, morning stiffness).
View the case images below. Once viewed you can click here to download discussion and reference 1 and reference 2.
Left Shoulder Tip
Right Scalp
IgG
IgM
C3
There is an interactive image download which can be viewed with Aperio. Download times may be slow due to the size of the image, and will vary depending on your download speed.
Follow the link to download the pathology files (*.svs) from our Dropbox folder and save it on your hard drive.
To view the pathology file you need to use the Aperio Image Scope System. You can download the software for Aperio Image Scope here. Only available for PC.
If you would like to submit a case for consideration, please contact the ADS Education Officer, Dr Ben Tallon via the secretariat at ads@arinex.com.au
