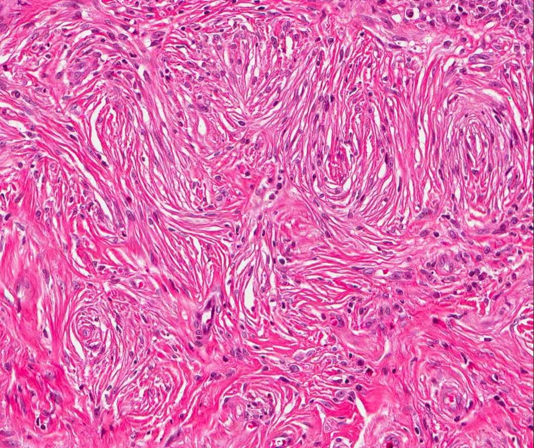
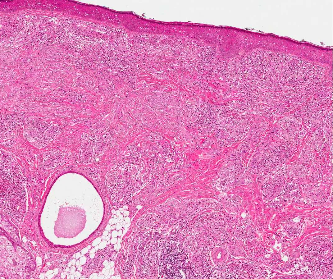
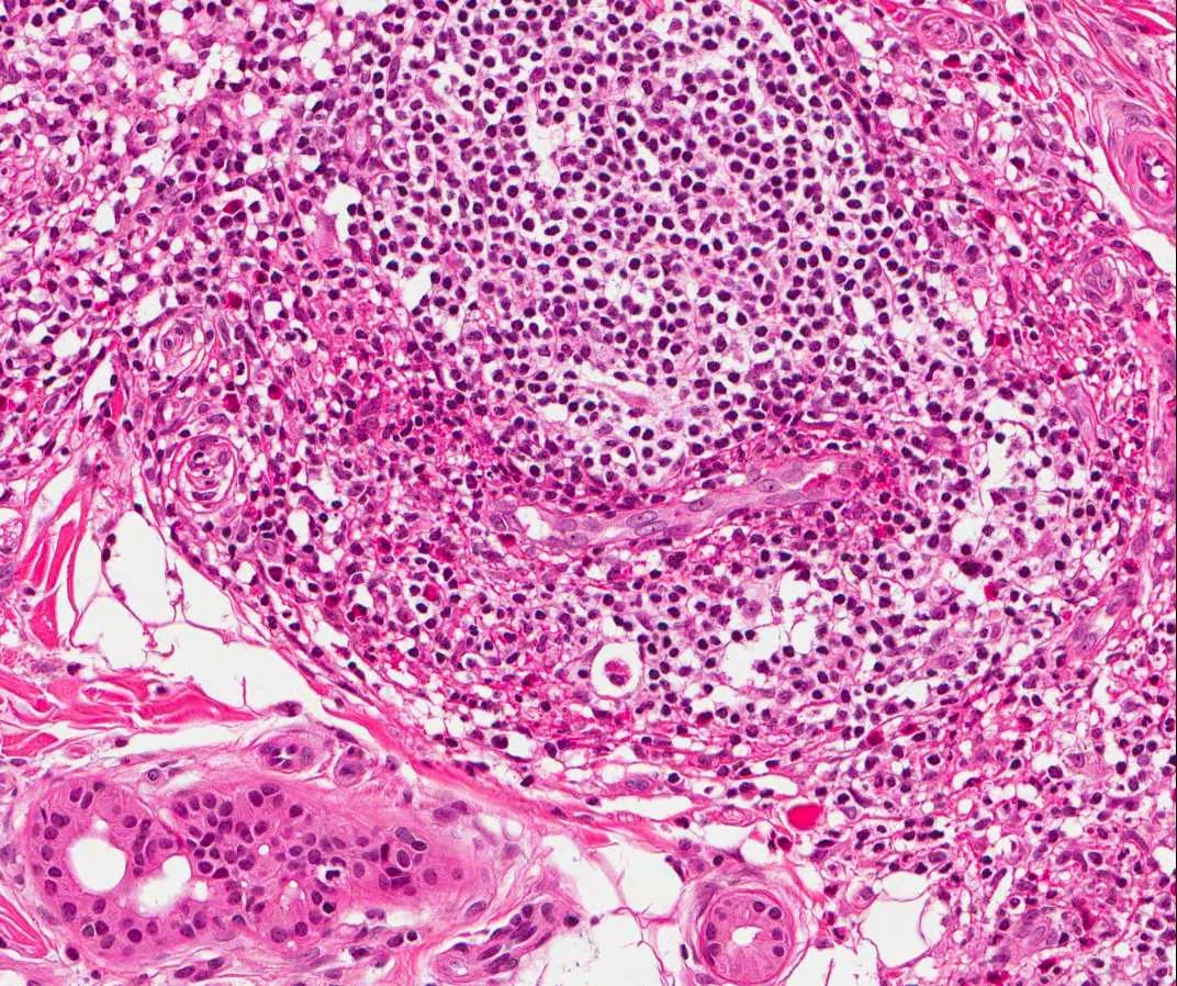
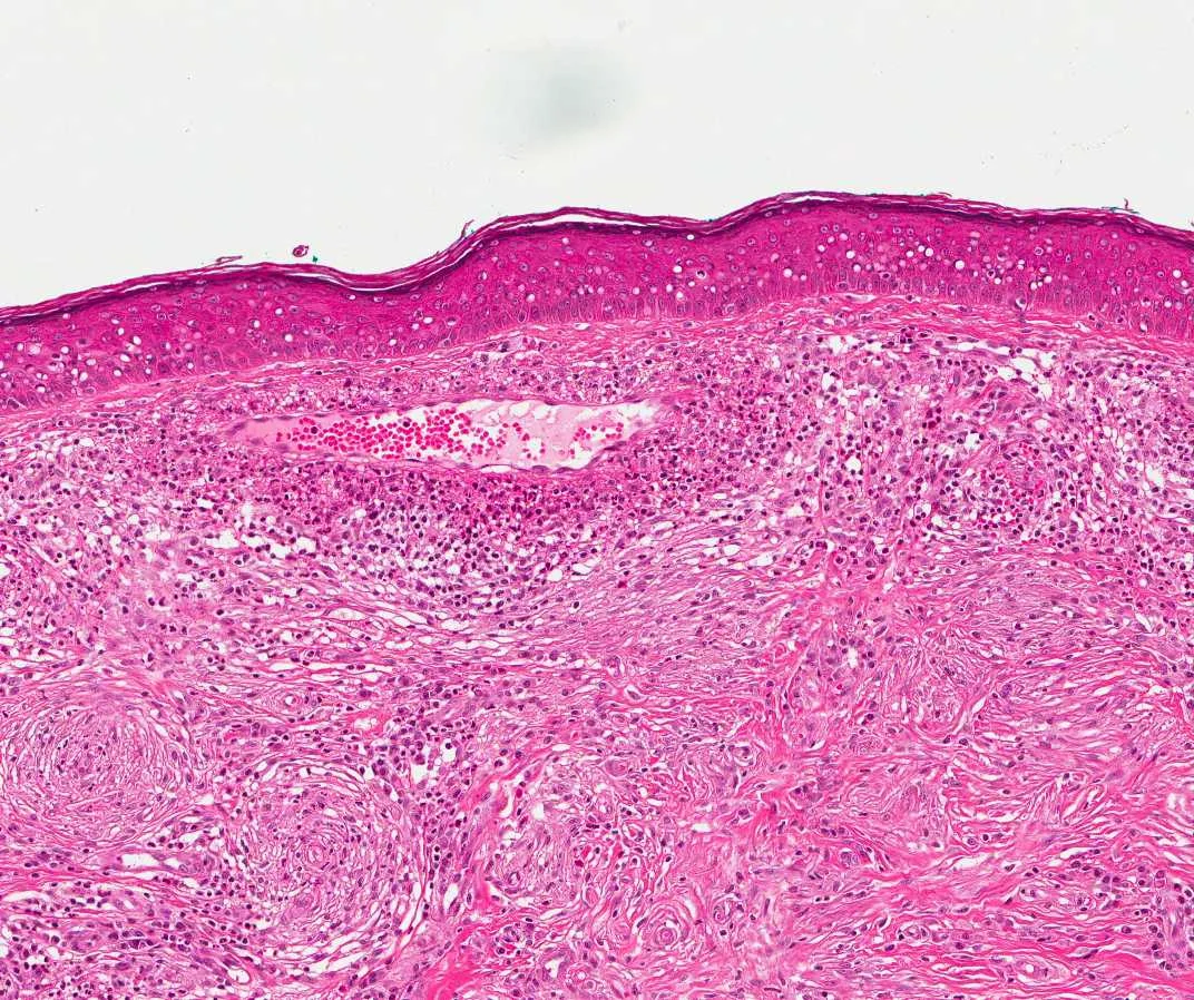
March Pathology Case
Clinical History: 50 year old male. BCC on the nose.
View the images below, or download an interactive file via the link at the bottom of the page.
Once viewed you can click here to download discussion and references.
There is also an interactive image download which can be viewed with Aperio. Download times may be slow due to the size of the image, and will vary depending on your download speed.
Follow the link to download the pathology file (*.svs) from our Dropbox folder and save it on your hard drive. To view the pathology file you need to use the Aperio Image Scope System. You can download the software for Aperio Image Scope here. Only available for PC.
