CASE: August 2016
Dr Anna Simpson
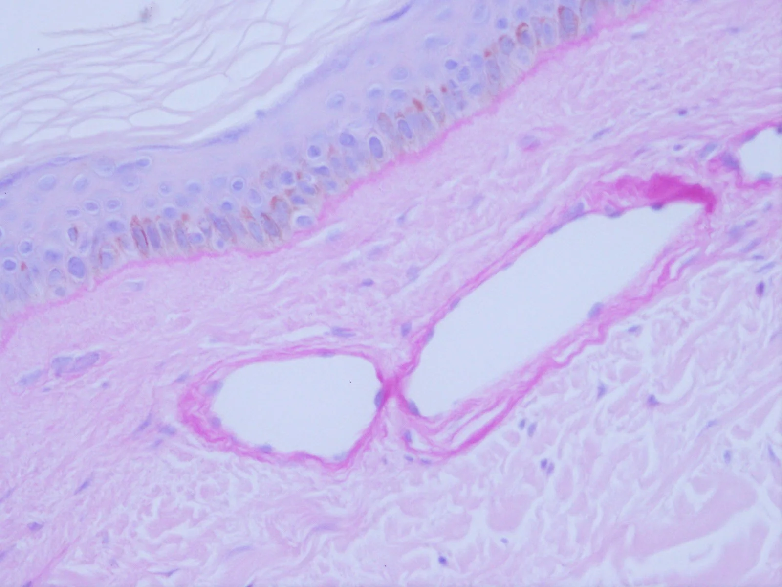
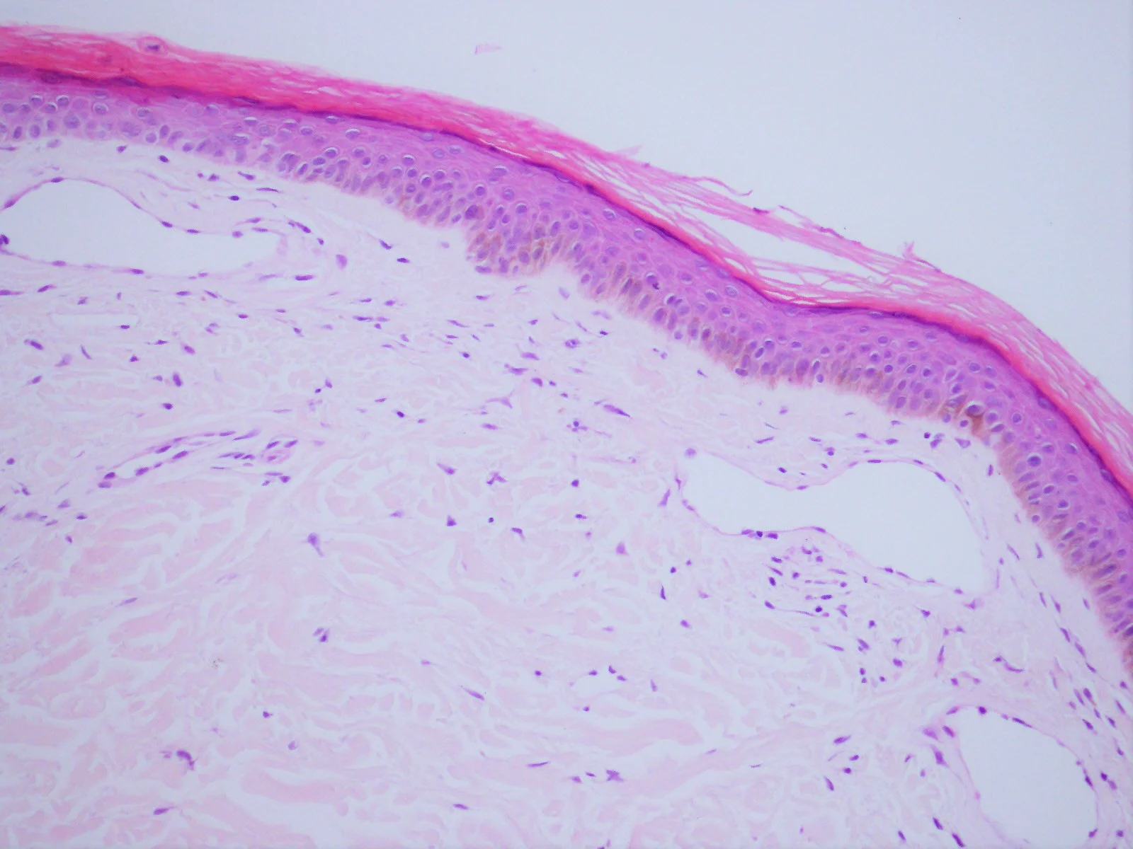
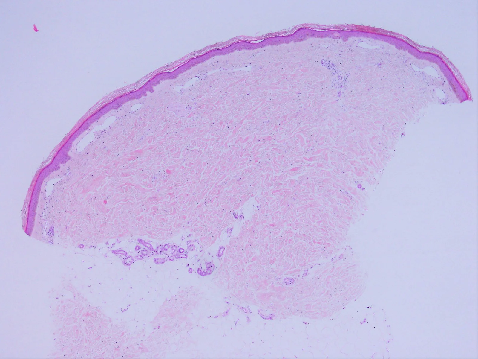
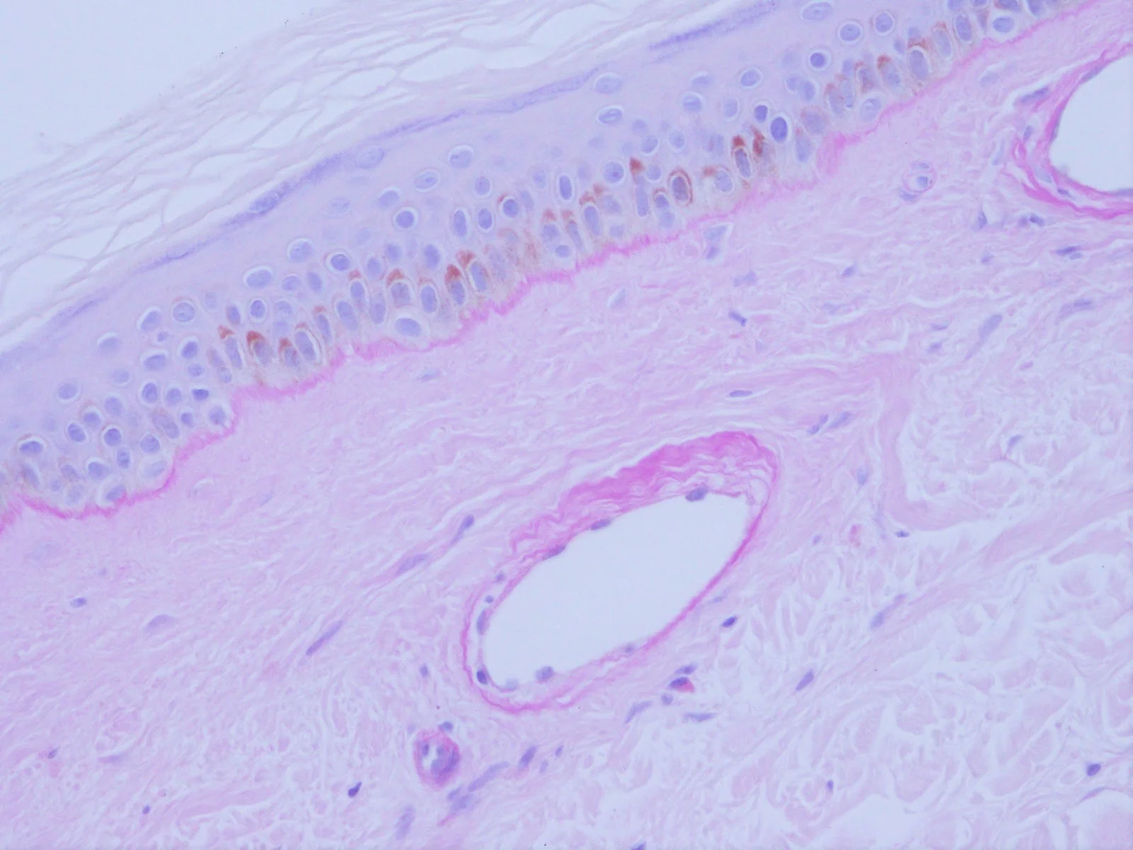
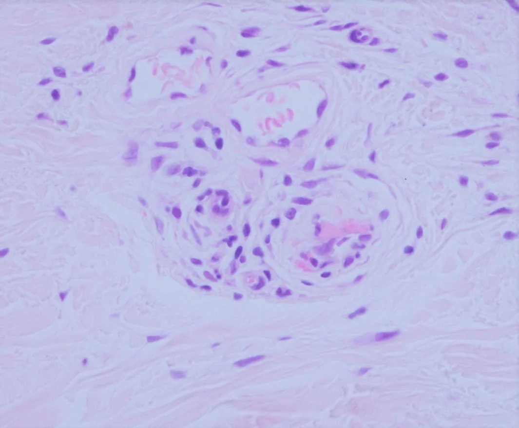
Clinical: 54yo male pigmented purpuric dermatosis
View the images below or click on link at bottom to the Aperio file. Once viewed you can click here to download discussion and references
There is also an interactive image download which can be viewed with Aperio. Download times may be slow due to the size of the image, and will vary depending on your download speed.
Follow the link to download the pathology files (*.svs) from our Dropbox folder and save it on your hard drive. To view the pathology file you need to use the Aperio Image Scope System. You can download the software for Aperio Image Scope here. Only available for PC.
