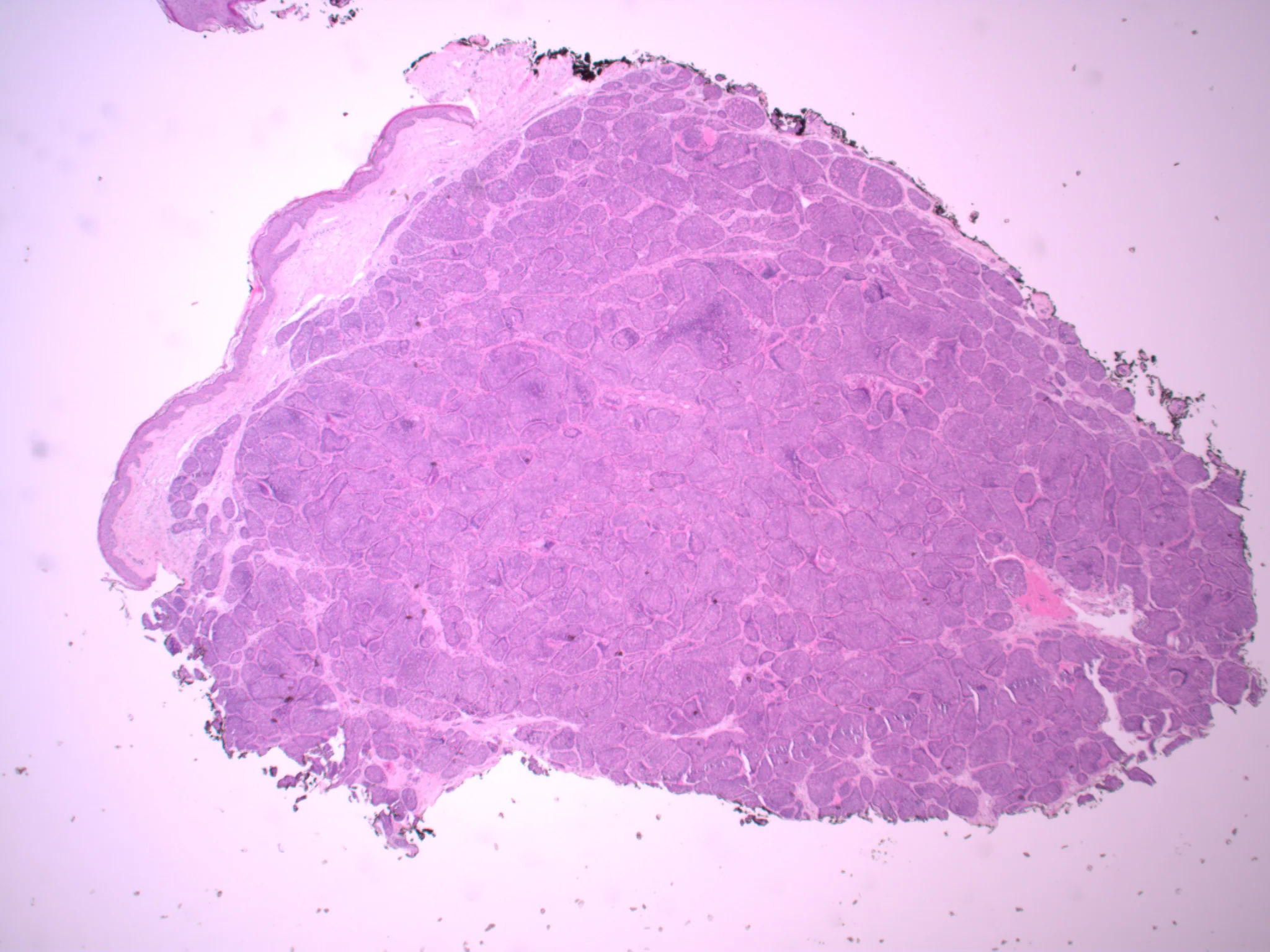
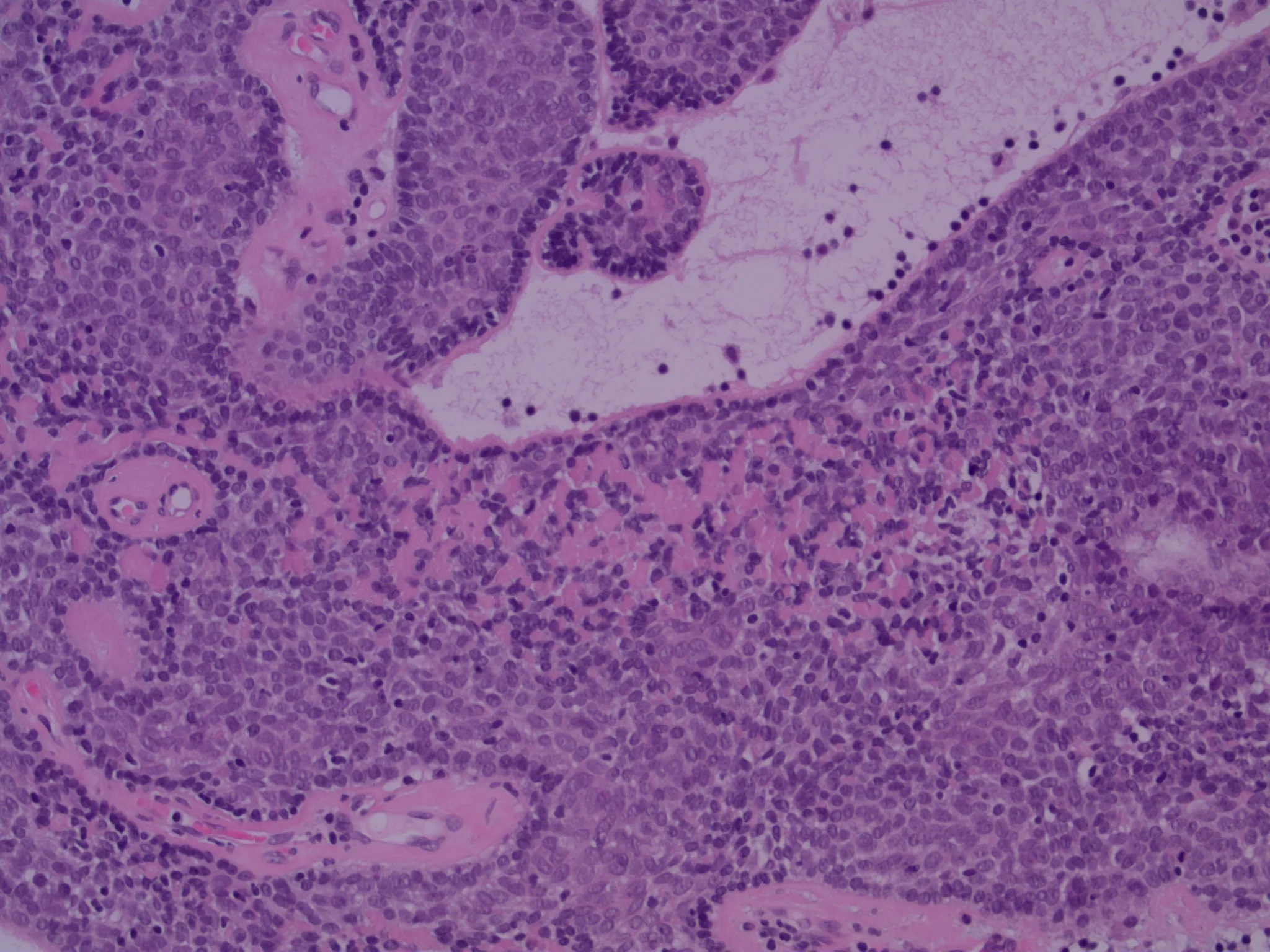
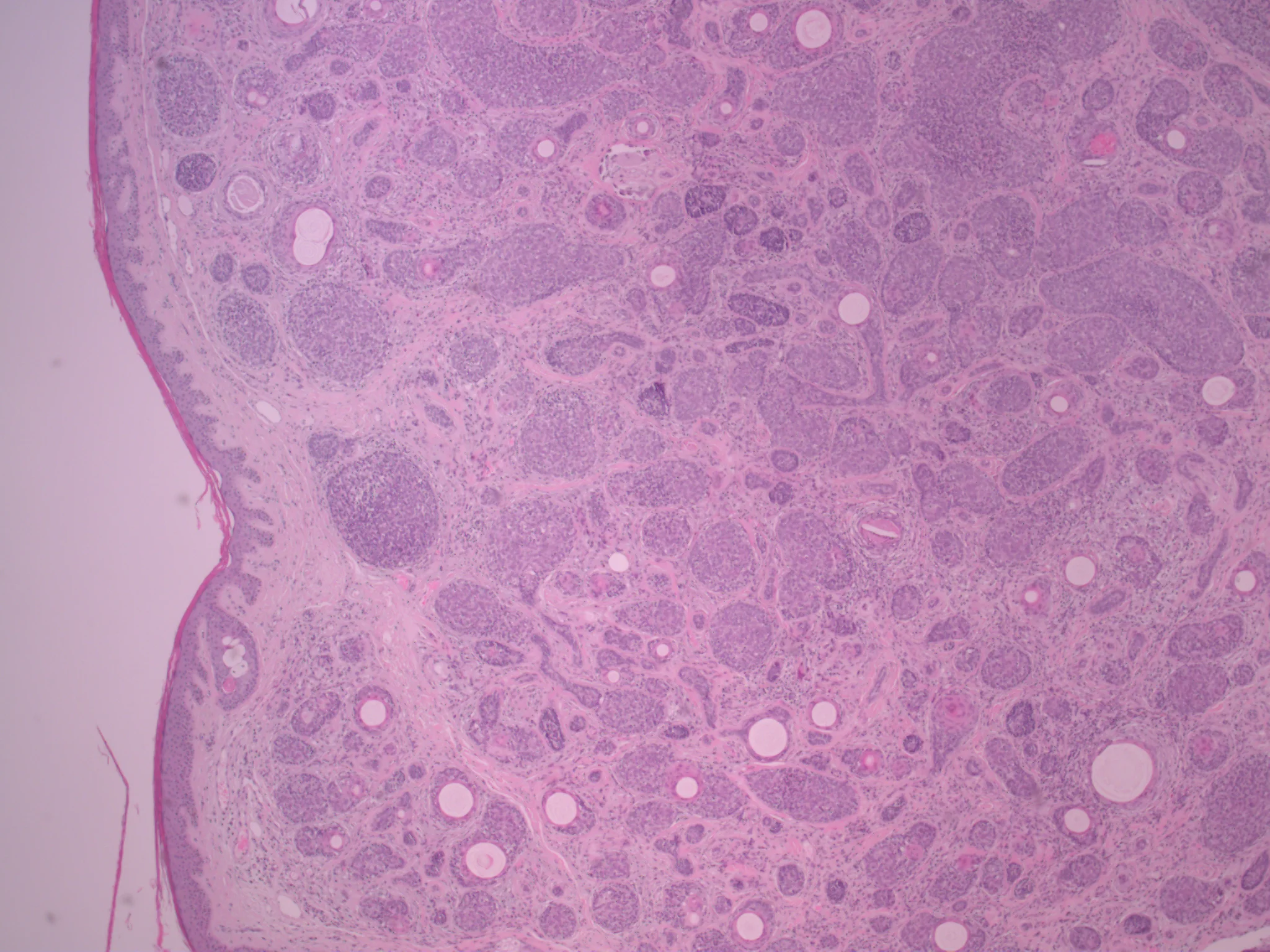
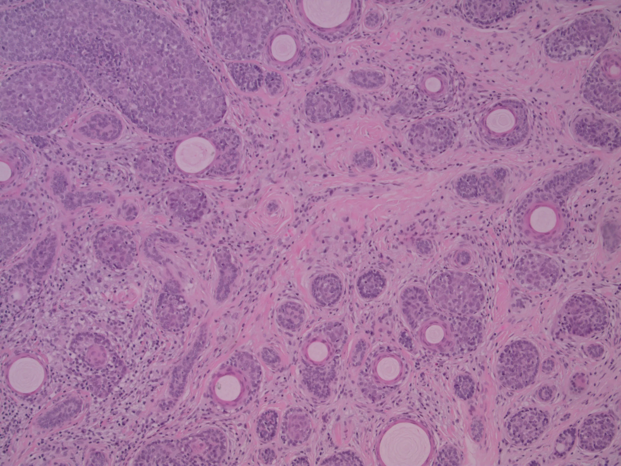
31 yo Indian man with multiple ?pilar cysts scalp. Clinical photos aren’t from our patient.
Dr Andrew Ryan
View the case images below. Once viewed you can click here to download discussion
If you would like to submit a case for consideration, please contact the ADS Education Officer, Dr Ben Tallon via the secretariat at ads@arinex.com.au
