JUNE DERMAtoPATHOLOGY CASE
Dr Patricia Lowe, Dr Vicki Howard
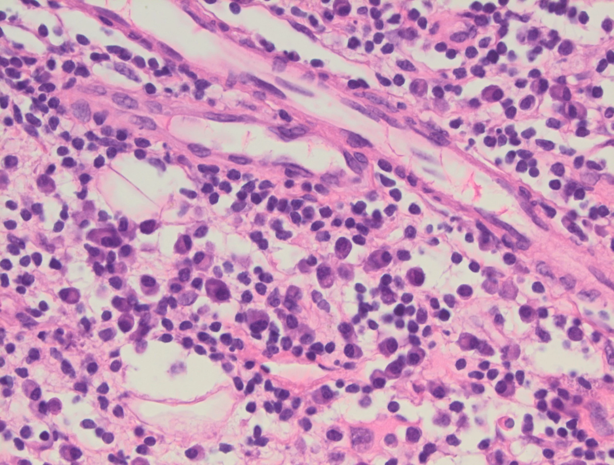
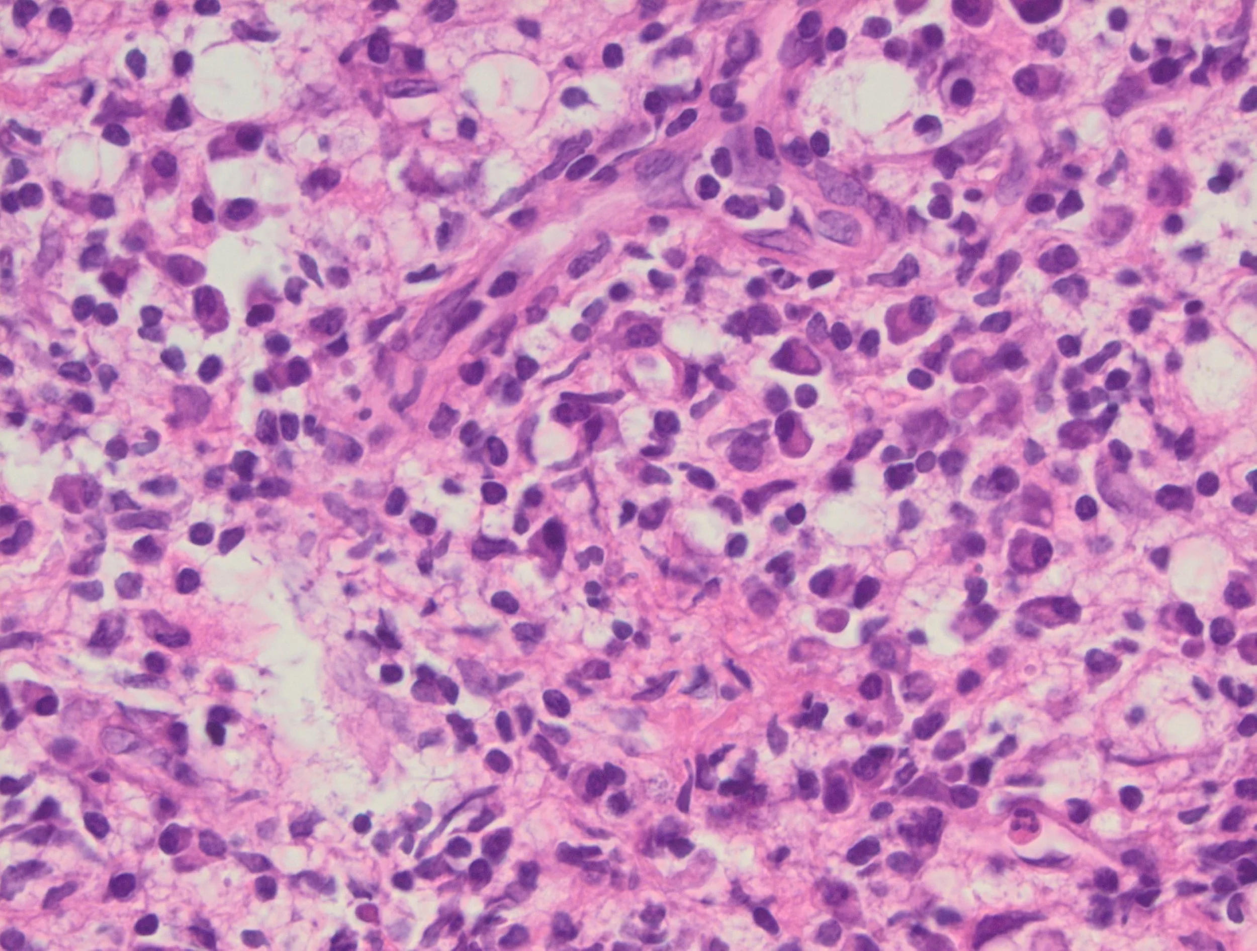
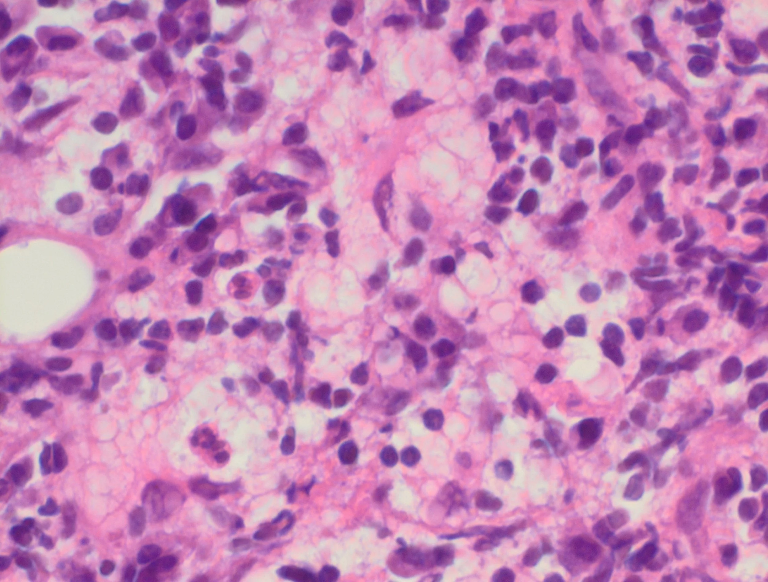
Clinical History: 37year old female, from Philippines.
6-month history of asymptomatic, firm, hyperpigmented subcutaneous nodules on L lateral chest wall and thighs.
Systemically well; no LAD
View the images below. Once viewed you can click here to download discussion and references
There is also an interactive image download which can be viewed with Aperio. Download times may be slow due to the size of the image, and will vary depending on your download speed.
Follow the link to download the pathology files (*.svs) from our Dropbox folder and save it on your hard drive. To view the pathology file you need to use the Aperio Image Scope System. You can download the software for Aperio Image Scope here. Only available for PC.
